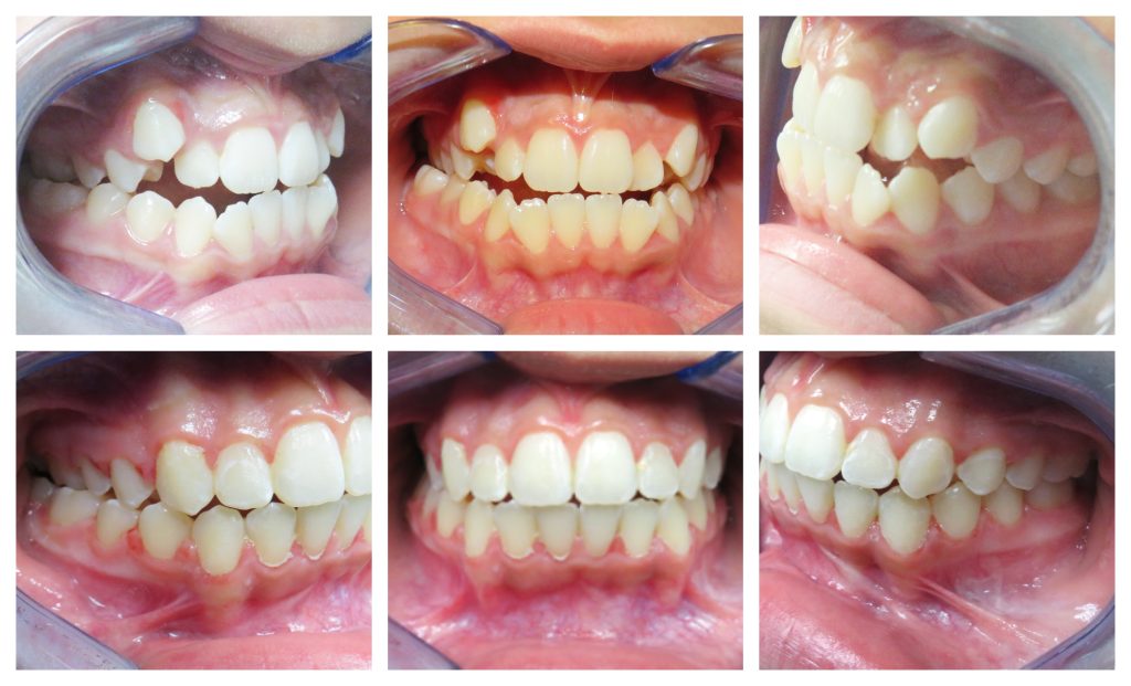
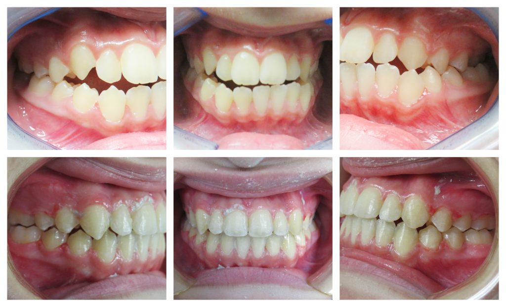
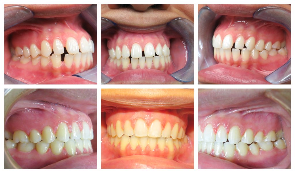
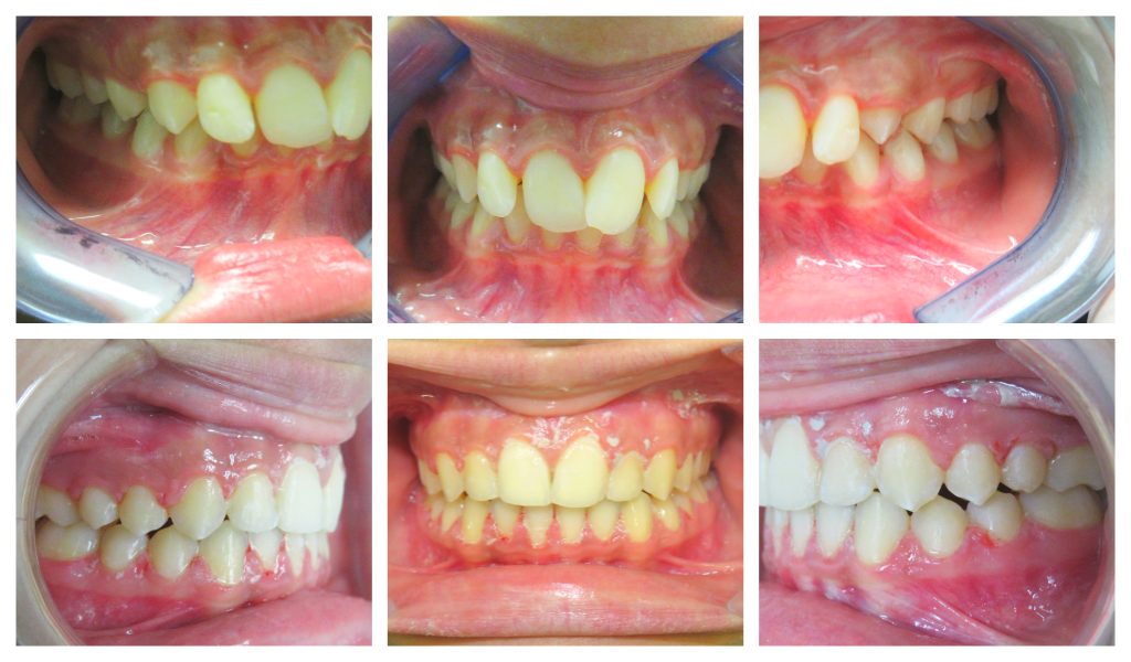
Understanding the significance of regular dental exams and cleanings is essential for maintaining long-term oral health. At Downers Grove Dental Spa, located at 640 Ogden Ave, Suite E, Downers Grove,…
Read more: The Importance of Regular Dental Exams and Cleanings